WE ARE OPEN - CALL US AT: 018-2063303
WE ARE OPEN - CALL US AT: 018-2063303

Airway-focused dentistry looks beyond the teeth to understand how breathing, sleep, and facial development are connected. At our clinic, we assess children for signs of mouth breathing, snoring, narrow arches, and improper oral habits that can affect their growth, sleep, and overall health. Early intervention with airway and myofunctional therapy can help your child breathe better, sleep soundly, and thrive.

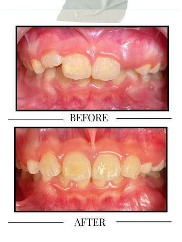
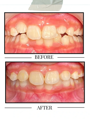
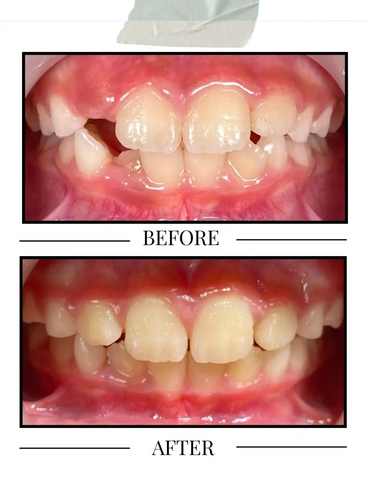
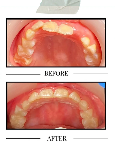
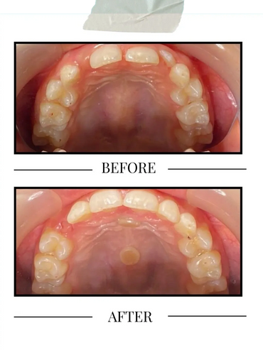
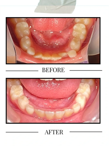
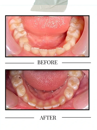
Teeth crowding in kids happens when there isn't enough space in the jaw for all the teeth to grow properly. This forces the teeth to shift and overlap, leading to alignment problems. Early monitoring of jaw and teeth development can help address these issues before they worsen.
Persistent mouth breathing can affect jaw development, facial growth, and overall health.
Incorrect tongue posture when swallowing can lead to crooked teeth and orthodontic relapse.
Problems like snoring or sleep apnea are often linked to improper tongue and oral muscle function.
Oral muscle Therapy supports proper jaw and palate development, reducing the risk of crowded teeth.
Difficulties pronouncing certain sounds (e.g., lisping) can result from poor tongue posture.
Encourages balanced facial growth and prevents issues like elongated face syndrome.
Dysfunctional patterns can lead to digestive problems and stress on facial muscles.
Ensures long-term success of braces or other dental treatments by correcting oral muscle function.

Encourages proper nasal breathing, reducing mouth breathing and associated issues like dry mouth or sleep apnea.
Promotes proper jaw alignment and prevents narrow palates or crooked teeth.
Helps with proper tongue placement and movement, addressing speech difficulties like lisping.
Corrects dysfunctional swallowing patterns and strengthens chewing muscles.
Reduces snoring and improves sleep quality by maintaining an open airway during rest.
Encourages balanced facial development, preventing issues like long-face syndrome.









2a, Persiaran Zaaba, Taman Tun Dr Ismail, Kuala Lumpur, Federal Territory of Kuala Lumpur, Malaysia
Mon | 10:00 am – 07:00 pm | |
Tue | 10:00 am – 07:00 pm | |
Wed | 10:00 am – 07:00 pm | |
Thu | 10:00 am – 07:00 pm | |
Fri | 10:00 am – 07:00 pm | |
Sat | 10:00 am – 07:00 pm | |
Sun | Closed |